Homem vai ao hospital para tratar joelho e descobre que o pênis está virando osso
Caso será publicado na revista médica Urology Case Reports, e até hoje apenas 40 casos parecidos foram analisados


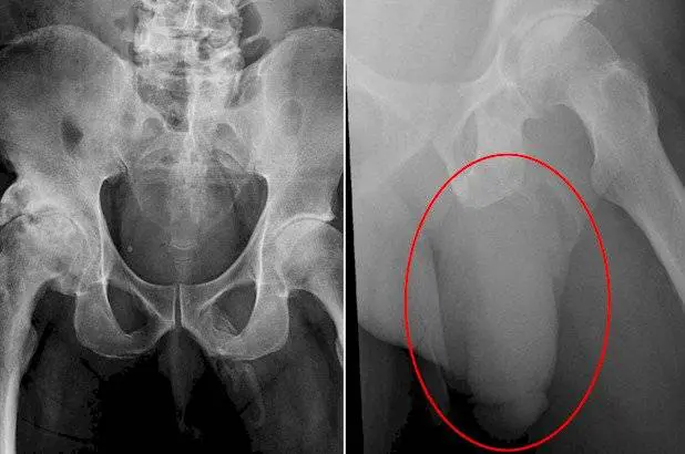
Depois de dar entrada no hospital com fortes dores no joelho, um senhor de 64 anos descobriu por meio de exames de raio-x que o pênis dele está calcificando.
O mais estranho é que o homem deu entrada no Centro Médico Licoln no Bronx’s, em Nova York, depois de cair na rua. Durante a bateria de exames a rara condição foi descoberta.
Ela causa ossificação na base do órgão. O que torna o caso diferente é que, de acordo com as imagens, o pênis todo está se transformando em osso.
O caso será publicado na revista médica Urology Case Reports, e até hoje apenas 40 casos parecidos foram analisados. Segundo os médicos, o homem relatou dores na região pélvica.
Antes que pudesse ser examinado com mais calma, o homem deixou o hospital contra indicação médica. A suspeita é que esses casos geralmente ocorrem por uma condição chamada de doença de Peyrone.
Esta é caracterizada pelo desenvolvimento de tecido cicatrizante no corpo do pênis, causando inflamação e curvatura do órgão. Ela também causa muita dor durante as ereções e pode levar à impotência.
✅ Curtiu e quer receber mais notícias no seu celular? Clique aqui e siga o Canal eLimeira Notícias no WhatsApp.




